History
7 year old cat. Health check up.
In collaboration with Dr. Adrien-Maxence Hespel from the University of Tennessee, we present the following radiology quiz. The goal of this case is to practice identifying radiographic findings and formulating a radiographic diagnosis based on a brief patient description. The final section provides additional information about the treatment.
7 year old cat. Health check up.
Click on the images to view them at a larger size (lightbox mode). Use the arrow keys on screen, or on your keyboard to move to the previous/next image.
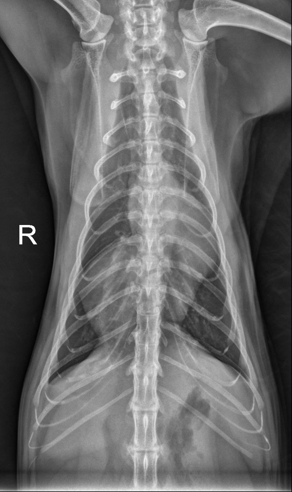
Orthogonal radiographs of the thorax are available for interpretation.
Within the caudal ventral thorax, directly adjacent to the diaphragm, there is a large, round, smoothly marginated, fat opaque structure that is causing dorsal and leftward deviation of the cardiac silhouette. The margins of the cardiac silhouette are distinctly identified superimposed with this structure on the lateral views.
The cardiac silhouette is normal in size. The pulmonary vessels, pulmonary parenchyma, and pleural space are normal.
The rounded structure in the caudal ventral thorax is suspected to represent fat opaque material and may be due to herniation/eventration of falcifom fat.
On the annotated image the cardiac margin remains visible when superimposed with the caudal structure. This indicates that those two are not of the same opacity. Furthermore the caudal structure is slightly more radiolucent compared to the cardiac outline.

March 3, 2026
History A 4-year-old spayed female Labrador Retriever is presented with fever of unknown origin (FUO).
...
March 9, 2026
History 2 year old labradoodle. Female Spayed. 2 weeks ago was diagnosed with aspiration pneumonia. Still lethargic.
...