Radiology Quiz November 2025

In collaboration with Dr. Adrien-Maxence Hespel from the University of Tennessee, we present the following radiology quiz. The goal of this case is to practice identifying radiographic findings and formulating a radiographic diagnosis based on a brief patient description. The final section provides additional information about the treatment.

History

5 year old domestic short hair cat. Vomiting.

X-ray images

Click on the images to view them at a larger size (lightbox mode). Use the arrow keys on screen, or on your keyboard to move to the previous/next image.

Description of the RX images

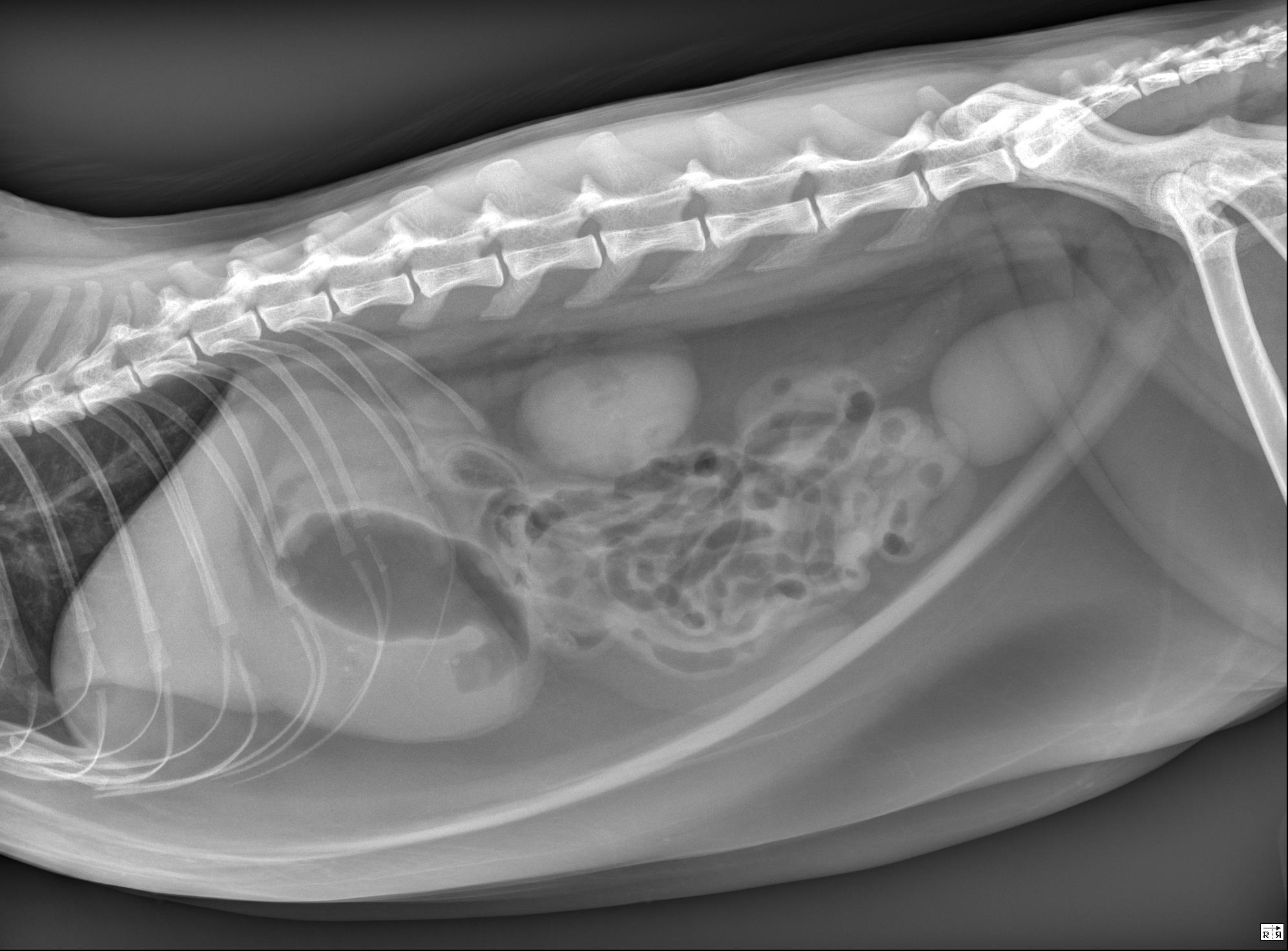
Study: Left lateral, right lateral, and ventrodorsal abdominal radiographs are available for review.

Findings: The stomach is distended with a large volume of fluid, a smaller volume of gas, and a small number of pinpoint, mineral opaque foci. In the orad duodenum, seen ventral to the last pair of ribs in the lateral views and to the right of L2 in the ventrodorsal view, there is an ovoid structure in the duodenal lumen. The structure is gas-filled with a soft tissue opaque border surrounded by a thin rim of gas. It measures approximately 2 cm in length and 1 cm in diameter. The duodenum orad to this structure is mildly distended while the duodenum aborad to this structure appears empty/small in diameter. The remainder of the small intestinal tract is mildly, uniformly distended with fluid and gas in a string of pearls pattern, consistent with peristalsis. The colon contains a small volume of nonformed stool. The serosal detail, liver, spleen, kidneys, retroperitoneal space, and urinary bladder are normal. The imaged skeletal structures and caudal thorax are unremarkable.

Conclusions: Ovoid structure (suspected gas-filled foreign body) in the orad duodenum causing intestinal obstruction. Surgical intervention is warranted.

The patient underwent surgery and a ……

…. Pistachio !!! was removed

Related Posts

March 3, 2026

Radiology Quiz April 2025

History A 15-year-old neutered male Manx cat is presented with a history of two ‘episodes.’ The owner suspects these were epileptic seizures and describes them...

March 3, 2026

Radiology Quiz June 2025

History 10 year old female cat. Presented for anemia.

...

March 3, 2026

Radiology Quiz July 2025

History 7 year old cat. Health check up.

...